Treatment of stroke

Treatment of stroke, including thrombolysis, thrombectomy, neurosurgery, and long-term risk factor management.

Stroke treatment involves immediate interventions like thrombolysis and thrombectomy, neurosurgical procedures, and supportive care, followed by long-term risk factor management.

Thrombolysis

Thrombolysis, a procedure involving the dissolution of blood clots, plays a crucial role in the treatment of acute ischemic stroke. It is especially effective when administered within the first 3 hours of symptom onset. A clot-busting drug called recombinant tissue plasminogen activator (rtPA) or tenectaplase is injected into the veins. The sooner it’s administered, the greater the benefits.

However, the effect of thrombolysis becomes less certain when administered between three and four and a half hours after symptom onset. Beyond four and a half hours, thrombolysis can result in adverse outcomes. Certain patients with findings of salvageable tissue on medical imaging between 4.5 hours and 9 hours after symptom onset, or those who wake up with a stroke, may still benefit from alteplase treatment. It’s worth noting that 6.4% of patients with large strokes could experience substantial brain bleeding as a complication of rtPA administration, contributing to increased short-term mortality.

Intra-arterial fibrinolysis, where a catheter is passed up an artery into the brain and the medication is injected at the site of thrombosis, can also enhance outcomes in people with acute ischemic stroke.

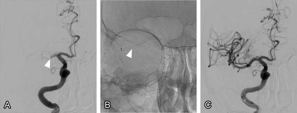
Mechanical thrombectomy

Mechanical thrombectomy is a procedure for removing a blood clot, which is the underlying problem causing the stroke. It involves using a special retrieval device to capture the clot and restore normal blood flow (fig. 1). If the clot is removed before it causes permanent damage, the prognosis usually improves. It’s performed globally in specialist hospitals and is suitable for many, but not all, stroke patients.

Risks associated with mechanical thrombectomy include potential failure to retrieve the clot, potential allergic reactions to contrast dye agents, and potential kidney dysfunction resulting from the excretion of the contrast agent. Additionally, the procedure requires general anesthesia, posing its own risks. More serious, but rarer, complications include severe brain injury, post-procedure brain bleeding, and radiation-induced health issues.

Mechanical thrombectomy is an emergency and potentially life-saving treatment.

Figure 1: Mechanical thrombectomy. (A) The arterial blood flow is obstructed at the arrow by a blood clot. (B) A long tube called an aspiration catheter is inserted into the artery and suction is applied. (C) The clot is sucked out and the blood flow into the smaller arteries is restored.

Neurosurgical Intervention and Supportive Care

In certain cases, neurosurgical intervention can be necessary to help patients survive the period of maximal swelling after a stroke. Such interventions include temporarily taking off part of the skull to allow the brain to swell, called decompressive craniectomies. This may be important in large strokes, especially in younger patients.

Supportive care is integral to the treatment of stroke patients. This often involves dedicated inpatient stroke units to prevent the numerous complications encountered by stroke patients, such as aspiration pneumonia and pressure ulcers.

Risk Factor Management in Stroke

Risk factor management is a fundamental part of stroke treatment and aims to reduce the chances of future stroke events. This involves lifestyle modifications, such as a balanced diet, regular exercise, smoking cessation, and limited alcohol consumption, combined with appropriate medical therapy. Underlying medical conditions, such as hypertension, diabetes, high cholesterol, and atrial fibrillation, need to be appropriately managed with the help of medication and lifestyle changes.

Stroke

Next: Carotid artery stenosis

Book Appointment