Diagnosis of stroke

How strokes are diagnosed, including CT, MRI, angiography, and additional cardiac and vascular investigations.

Diagnosing a stroke involves the use of imaging technologies to view the brain and detect any abnormalities.

Radiology scans are the primary diagnostic tools for identifying stroke. They help distinguish between ischaemic stroke (caused by a blockage) and haemorrhagic stroke (caused by bleeding).

Computed Tomography (CT) Scan

A CT scan of the brain is often the first imaging modality used in suspected stroke cases because it is quick, affordable, and widely available. While CT is excellent for excluding haemorrhage, it has limited sensitivity in detecting an ischaemic stroke in the acute setting. Over time, however, the effects of stroke become more pronounced and obvious on CT scans (fig. 1).

The main goals of an acute CT scan are to:

  1. Exclude intracranial haemorrhage, which would rule out the use of thrombolytic therapy.
  2. Look for early signs of ischaemia.
  3. Exclude other conditions that might mimic a stroke, such as a brain tumor.
Figure 1: CT scan of the brain of a patient with stroke. (A) Shows the bright clot. (B) Shows the darker region where the brain has not received enough blood.

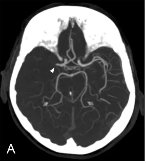
CT Angiography

CT angiography involves the injection of a contrast dye into the veins to identify clots within an intracranial blood vessel, provide insights into the stroke’s aetiology, assess the carotid and vertebral arteries in the neck, and help to guide intra-arterial thrombolysis or clot retrieval (fig. 2).

Figure 2: CT angiogram of a patient with a stroke. The arrow shows a blockage in the blood vessel, where the contrast (and therefore also blood) cannot pass.

CT Perfusion

CT perfusion is another type of test involving the injection of a contrast dye that can increase the accuracy of stroke diagnosis and helps to determine patient selection for reperfusion therapy. It enables the visualisation of the infarct core (the area of the brain that will not recover) and the penumbra (the area of the brain that is starved of oxygen but has not yet infarcted and may still be salvaged).

Magnetic Resonance Imaging (MRI)

MRI provides higher sensitivity and specificity than CT for diagnosing acute ischemic stroke (fig. 3). However, it is more time-consuming and not as readily available as CT. MR angiography can also be performed which is similar to CT angiography, and can help identify the location of the blood clot. MR angiography does not necessitate the injection of dye, however.

Figure 3: MRI of a patient with a stroke. The brighter region within the circle is the area affected by the stroke.

Further Investigations

Once a stroke has been diagnosed, additional studies are conducted to determine the underlying cause. These may include:

  • Ultrasound/Doppler study: These tests look at the carotid arteries to detect narrowing (stenosis) or a tear in the artery wall (dissection).
  • Electrocardiogram (ECG) and Echocardiogram : These heart tests can identify irregular heart rhythms and clots that could lead to stroke.
  • Holter monitor : This device is worn for 24 to 72 hours to identify intermittent abnormal heart rhythms.
  • Angiogram: This procedure involves injecting a contrast dye into the blood vessels to make them visible under X-rays. It can identify any abnormalities such as aneurysms or arteriovenous malformations.
  • Blood tests: Various blood tests are conducted to identify possible stroke causes, such as high cholesterol or an abnormal bleeding tendency.

Stroke

Next: Treatment of stroke

Book Appointment