Diagnosis of AVMs

Imaging methods used to diagnose AVMs, including CT, MRI, CTA, MRA, and cerebral angiography.

There are three primary imaging techniques used in the diagnosis and investigation of brain AVMs: computed tomography (CT), magnetic resonance imaging (MRI), and cerebral angiography.

Computed Tomography (CT)

A CT scan is usually the initial imaging study performed when a patient is symptomatic. A CT scan is a type of X-ray that produces detailed cross-sectional images of the brain. It can suggest the approximate site of a bleed if one has occurred.

For a more detailed view, a computerized tomography angiogram (CTA) may be performed. In a CTA, a contrast agent (a type of dye) is injected into the patient’s bloodstream. The contrast agent helps to illuminate the blood vessels on the CT scan, providing a more detailed view of the AVM’s structure.

Magnetic Resonance Imaging (MRI)

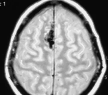
MRI is more sensitive than CT in diagnosing AVMs and provides better information about the exact location of the malformation (fig. 1). MRI uses a powerful magnetic field and radio waves to create detailed images of the brain and other structures. An MRI can provide a clear, detailed view of the brain’s soft tissues, making it particularly useful in imaging AVMs. For even more detailed imaging, a magnetic resonance angiogram (MRA) can be performed, similar to a CTA, a contrast agent is injected into the bloodstream to highlight the blood vessels.

Figure 1: MRI of an AVM.

Cerebral Angiography

Cerebral angiography, sometimes also called a cerebral arteriogram, provides the most detailed images of a cerebral AVM (fig. 2). This procedure involves threading a catheter (a thin, flexible tube) through an artery in the arm or leg up to the arteries in the head. A contrast agent is then injected through the catheter. As the contrast agent flows through the blood vessels of the brain, a sequence of X-ray images are taken. These images can provide a highly detailed view of the AVM, showing the exact location, size, and the blood flow pattern.

Figure 2: Cerebral angiogram of an AVM located in the occipital lobe (back of the brain).

AVM

Next: Treatment of AVMs

Book Appointment